Case 症例紹介
- TOP
- オルト矯正の症例紹介
- 症例紹介
- 下の歯のがたつきが改善!

下の歯のがたつきが改善!
2026/01/01
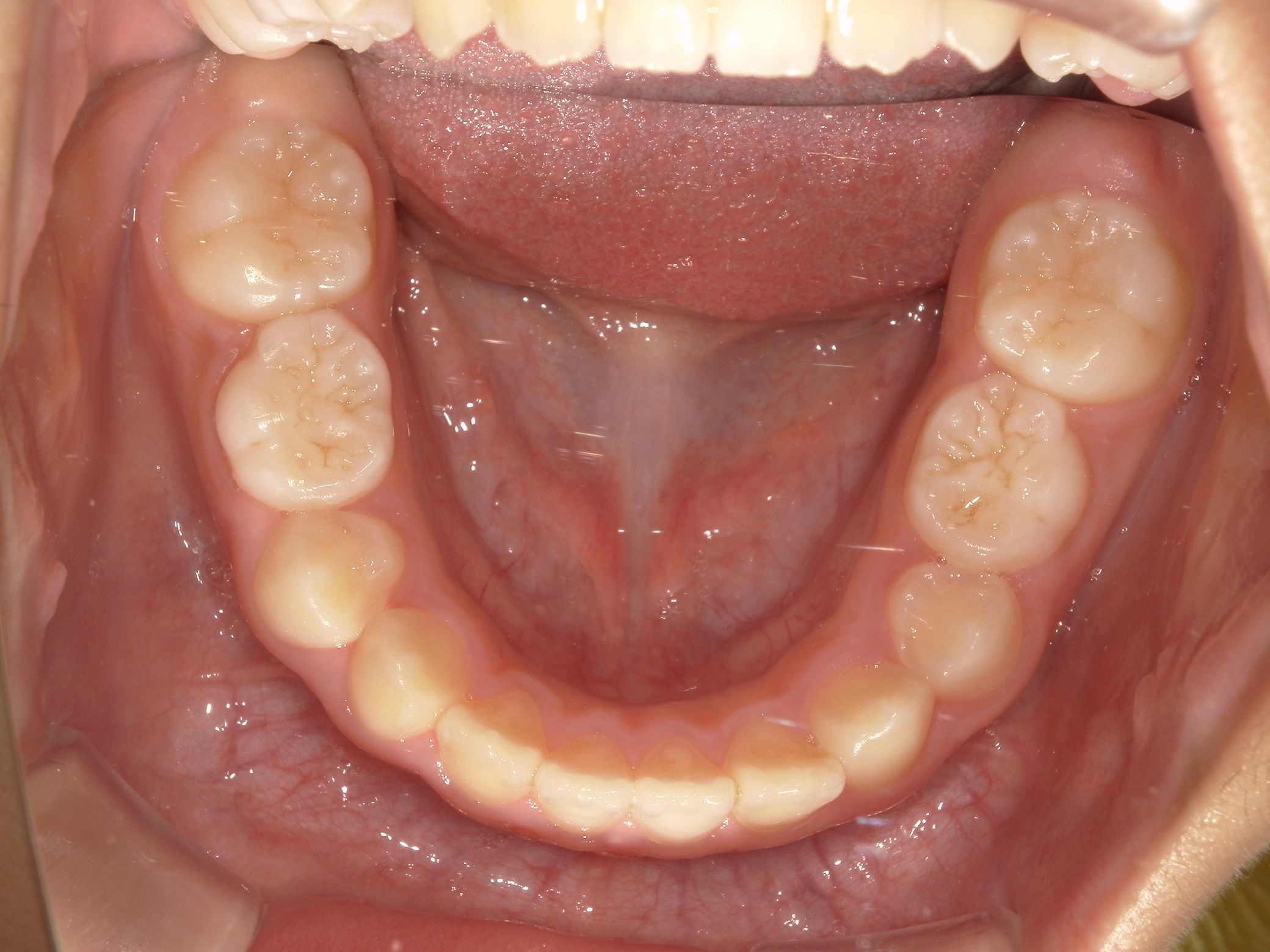
治療前 Before
がたつきが見られます
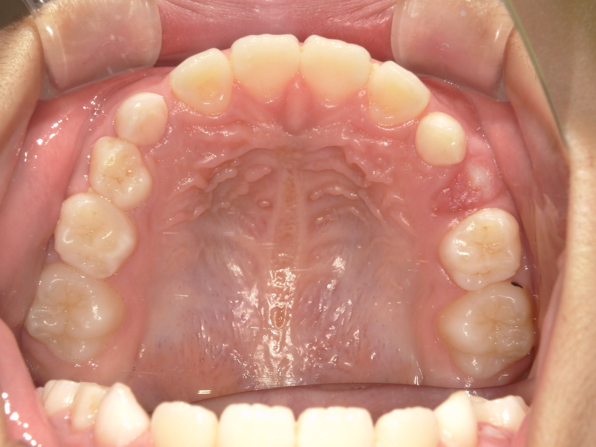
治療中 During treatment
上顎下顎共に拡大したため開咬になっています
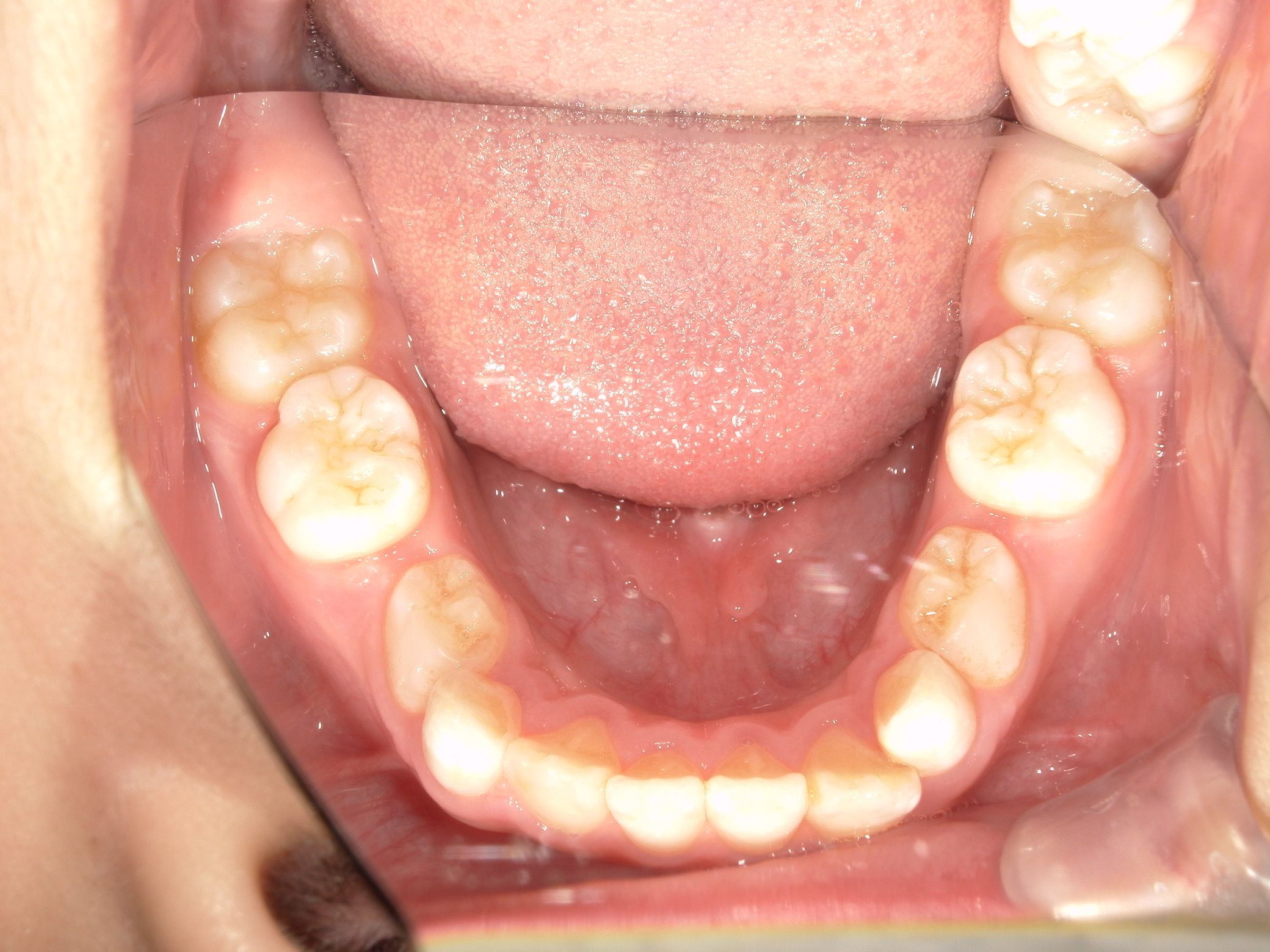
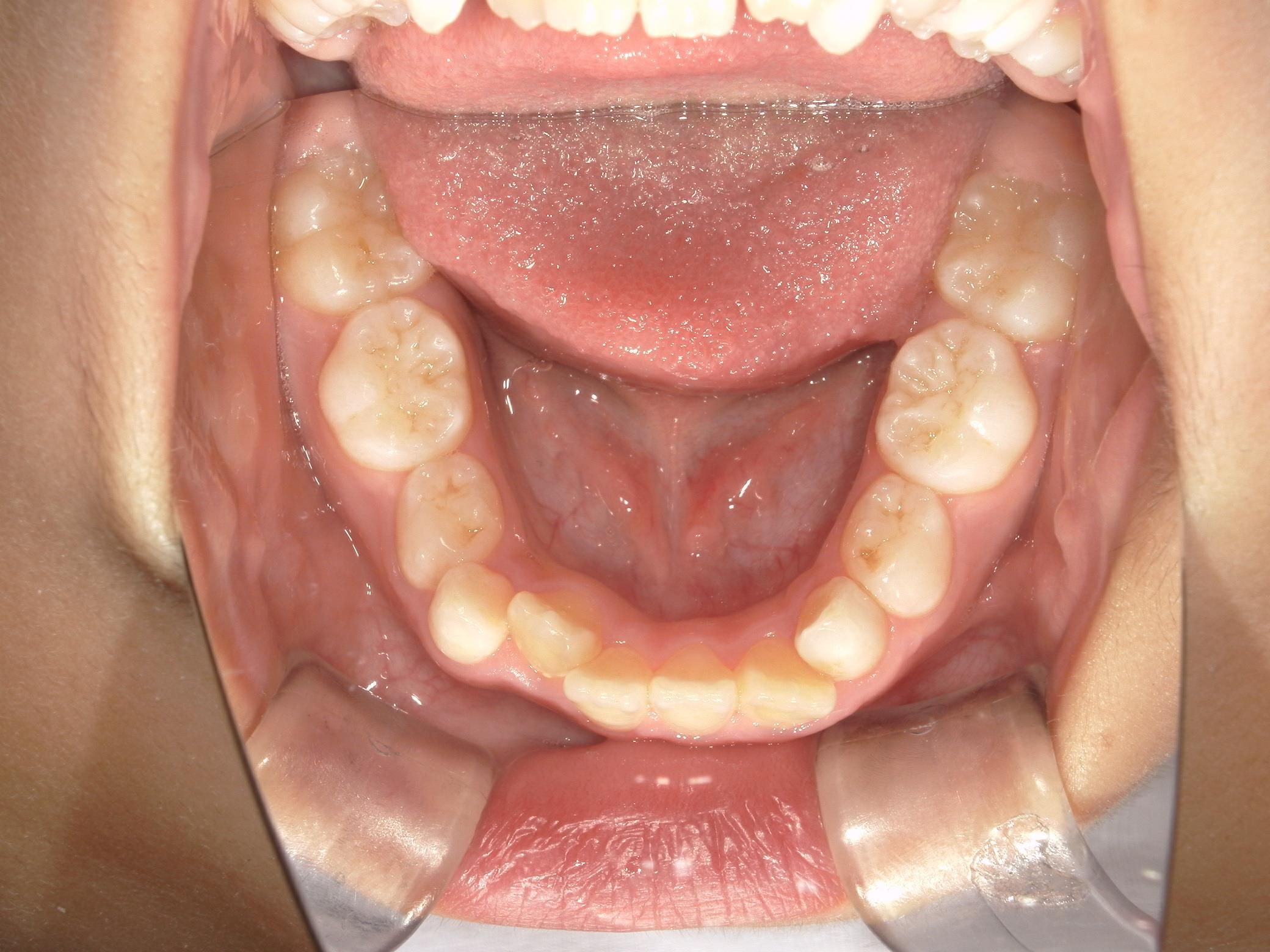
治療後After
治療終了後、3か月経過した写真。後戻りもしていません
症例概要
| 年齢 | 6歳8か月 | 性別 | 女児 |
|---|---|---|---|
| 主訴/ニーズ | 歯並びのガタつき、ガミースマイルが気になる | ||
| 治療回数 | 36回 | 治療期間 | 1年6か月 |
| 治療内容 | チューイングブラシ→マイオタレア→マイオブレス(K1ブロード)→上下バイオブロック→上リンガルアーチ→プレオルソタイプⅠロング |
||
| 治療のリスク | 協力を得られない場合改善が得られない。 治療後再度習癖が出現することにより後戻りの可能性がある。 |
||
| 費用 | 612,700 | ||
医院からのコメント
家でのトレーニングも積極的に頑張ってくれたおかげで歯列のがたつきが改善されました。
