Case 症例紹介
- TOP
- オルト矯正の症例紹介
- 症例紹介
- 前歯のがたつきと四角い歯列が大変身!

前歯のがたつきと四角い歯列が大変身!
2026/04/22
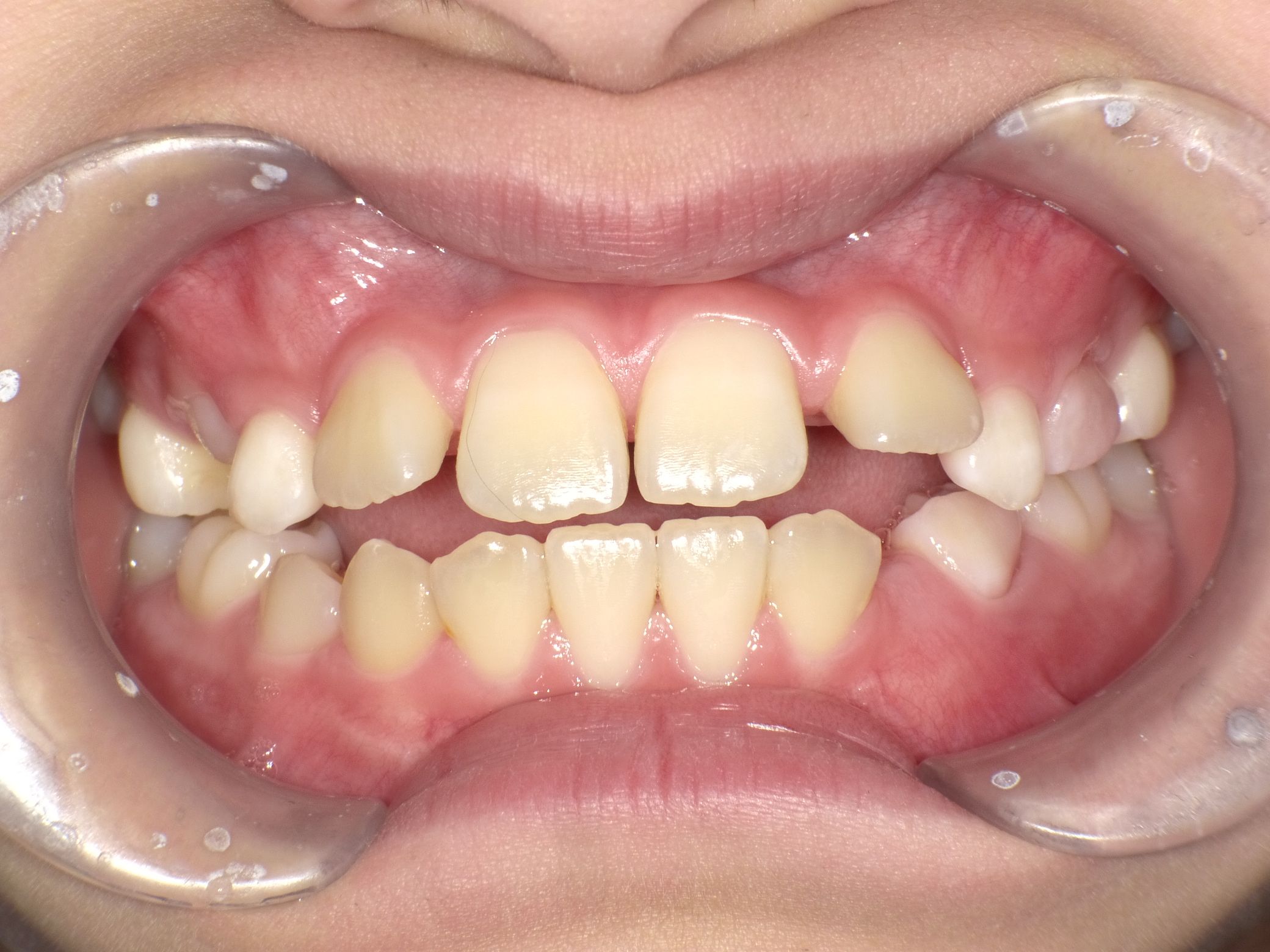
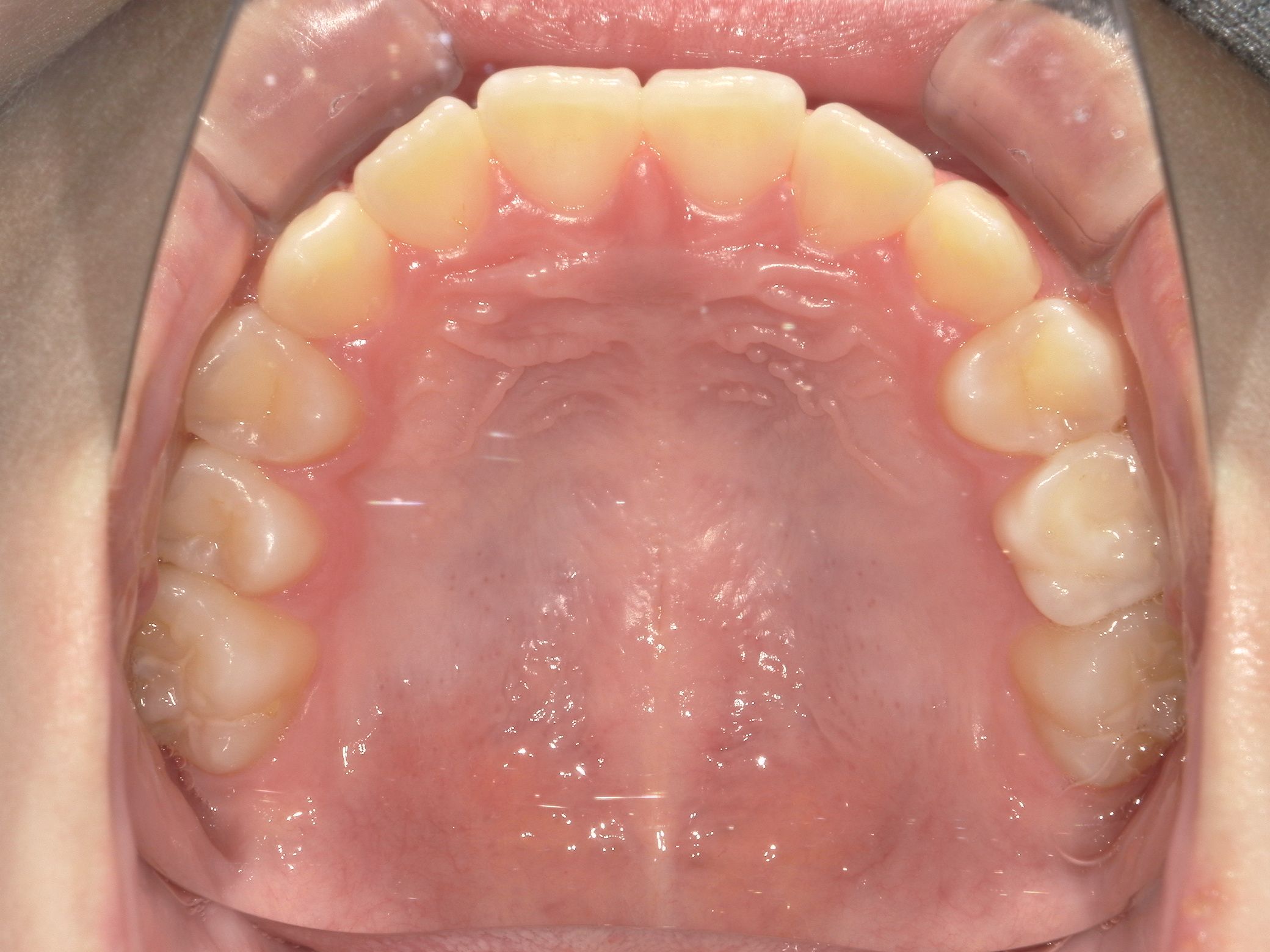
治療前 Before
前歯のがたつきが目立つ。咬み合わせも深い。
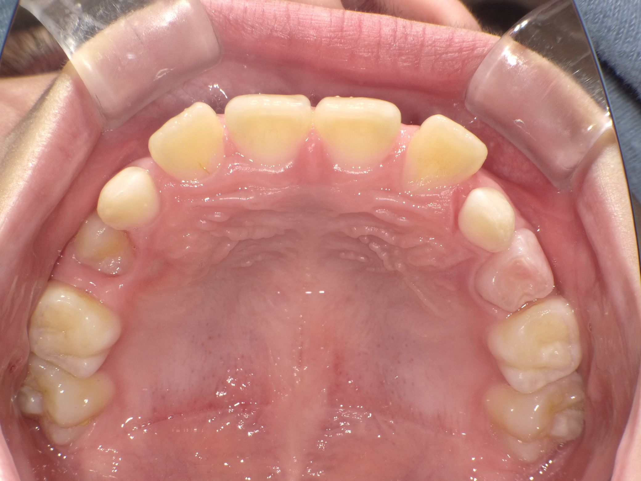
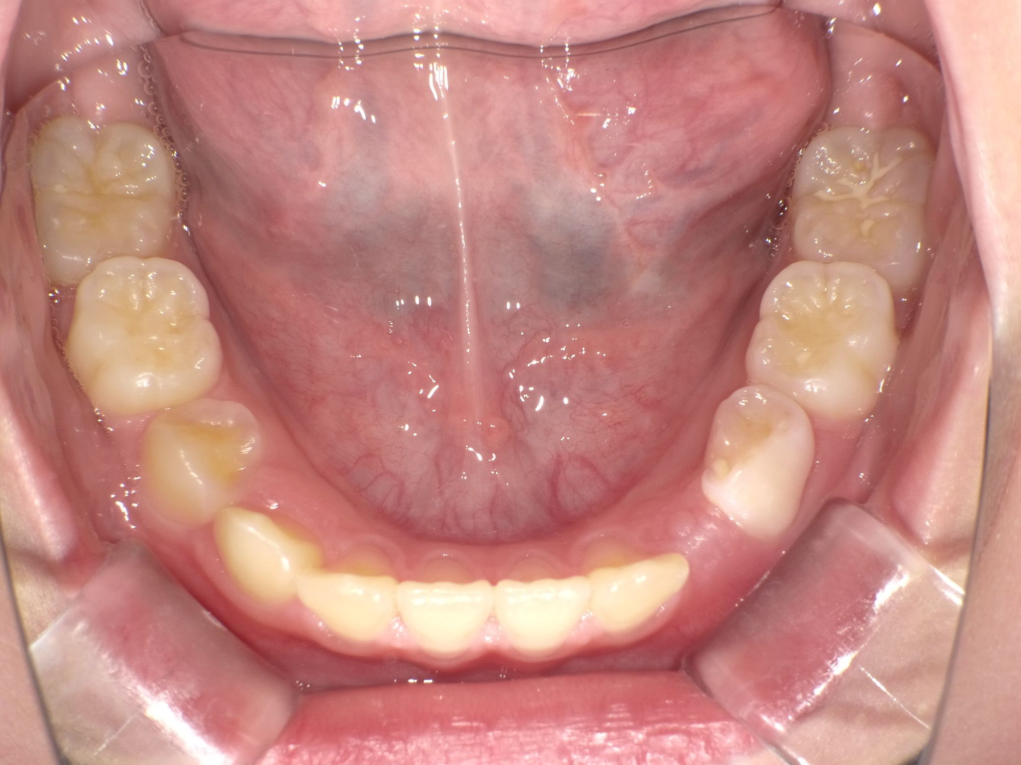
治療中 During treatment
上顎下顎共に拡大したため隙間だらけになった。
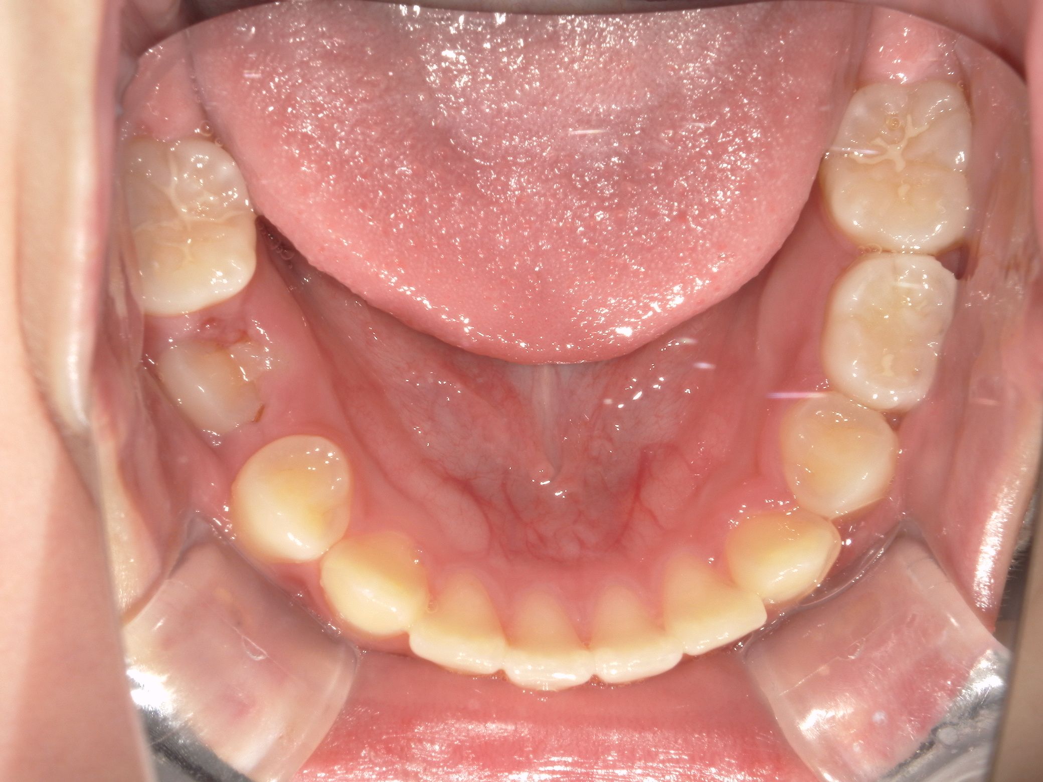
治療後After
前歯がきれいに並んだ。咬み合わせも改善された。
症例概要
| 年齢 | 8歳7か月 | 性別 | 女児 |
|---|---|---|---|
| 主訴/ニーズ | 歯並びががたがたしている、咬み合わせが深い、スペース不足 | ||
| 治療回数 | 39回 | 治療期間 | 1年8か月 |
| 治療内容 | チューイングブラシ→マイオタレアカット→上下バイオブロック+K1ブロード(M)→リンガルアーチ+プレオルソTYPE1ロング→インテリムG6・1/2 |
||
| 治療のリスク | 協力を得られない場合改善が得られない。 治療後再度習癖が出現することにより後戻りの可能性がある。 |
||
| 費用 | 687,320円 | ||
医院からのコメント
毎回のトレーニングをほぼ100%で頑張ってくれたおかげで、とても綺麗な歯並びになりました。
矯正治療は終了しましたが、今後も引き続き経過を確認していきます。
