Case 症例紹介
- TOP
- オルト矯正の症例紹介
- 症例紹介
- ガタガタ歯並びがきれいに並び、出っ歯も改善!test

ガタガタ歯並びがきれいに並び、出っ歯も改善!test
2026/02/01
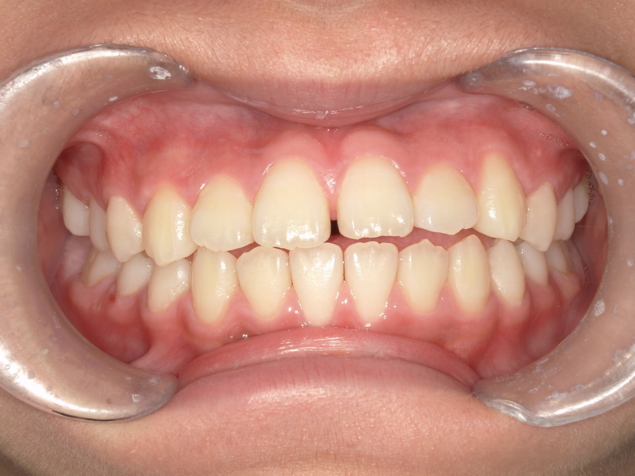
治療前 Before
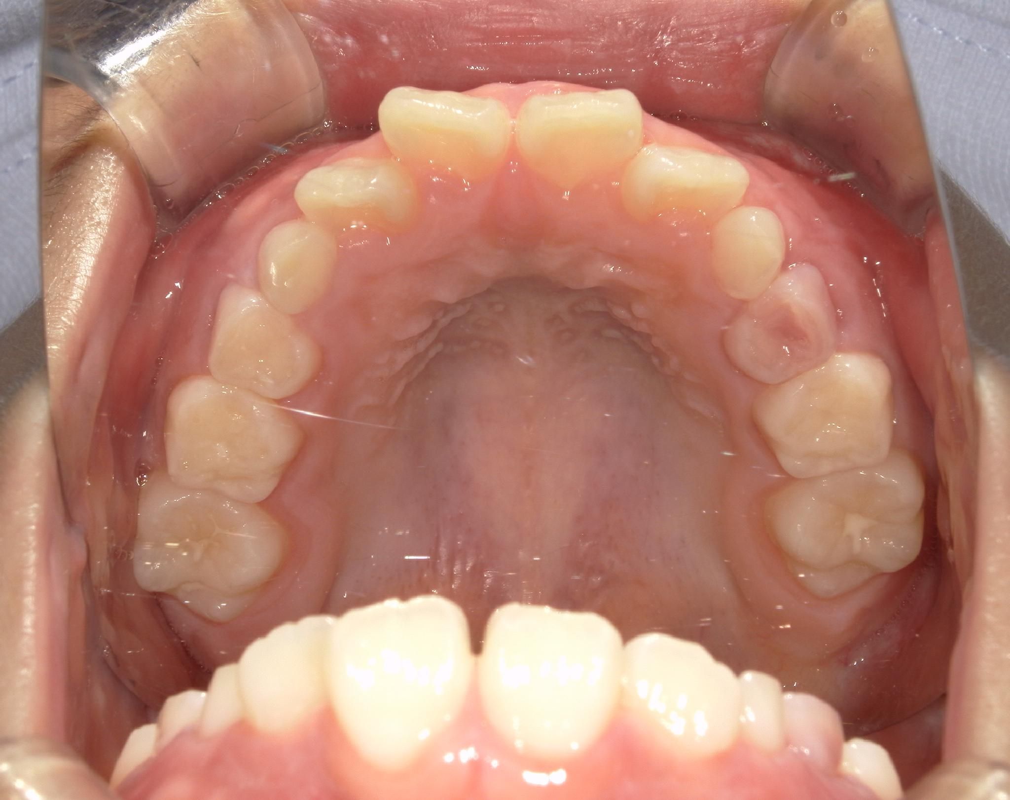
上の歯並びがガタついています
治療中 During treatment
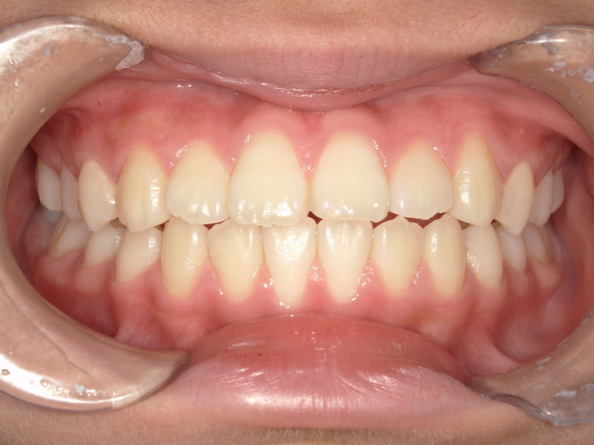
上顎がバイオブロックにより広がり、すき間ができています
治療後After
ガタつきもなく、きれいなアーチになりました
症例概要
| 年齢 | 9歳2か月 | 性別 | 女児 |
|---|---|---|---|
| 主訴/ニーズ | 出っ歯、お口ぽかん | ||
| 治療回数 | 44回 | 治療期間 | 2年0か月 |
| 治療内容 | チューイングブラシ→マイオタレア→タレアカット→上顎バイオブロック、下顎BWS→ガイドエボリューション5→再度上顎バイオブロック→マイオブレスK1ブロード(M)→上顎リンガルアーチ→プレオルソタイプⅠロング |
||
| 治療のリスク | 協力が得られない場合、改善ができない 治療後、再度習癖が現れることにより、後戻りの可能性がある バイオブロック、BWSによる歯の痛み |
||
| 費用 | 608,300円 | ||
医院からのコメント
習い事で忙しい中、前向きにトレーニングを行ってくれました!
