Case 症例紹介
- TOP
- オルト矯正の症例紹介
- 症例紹介

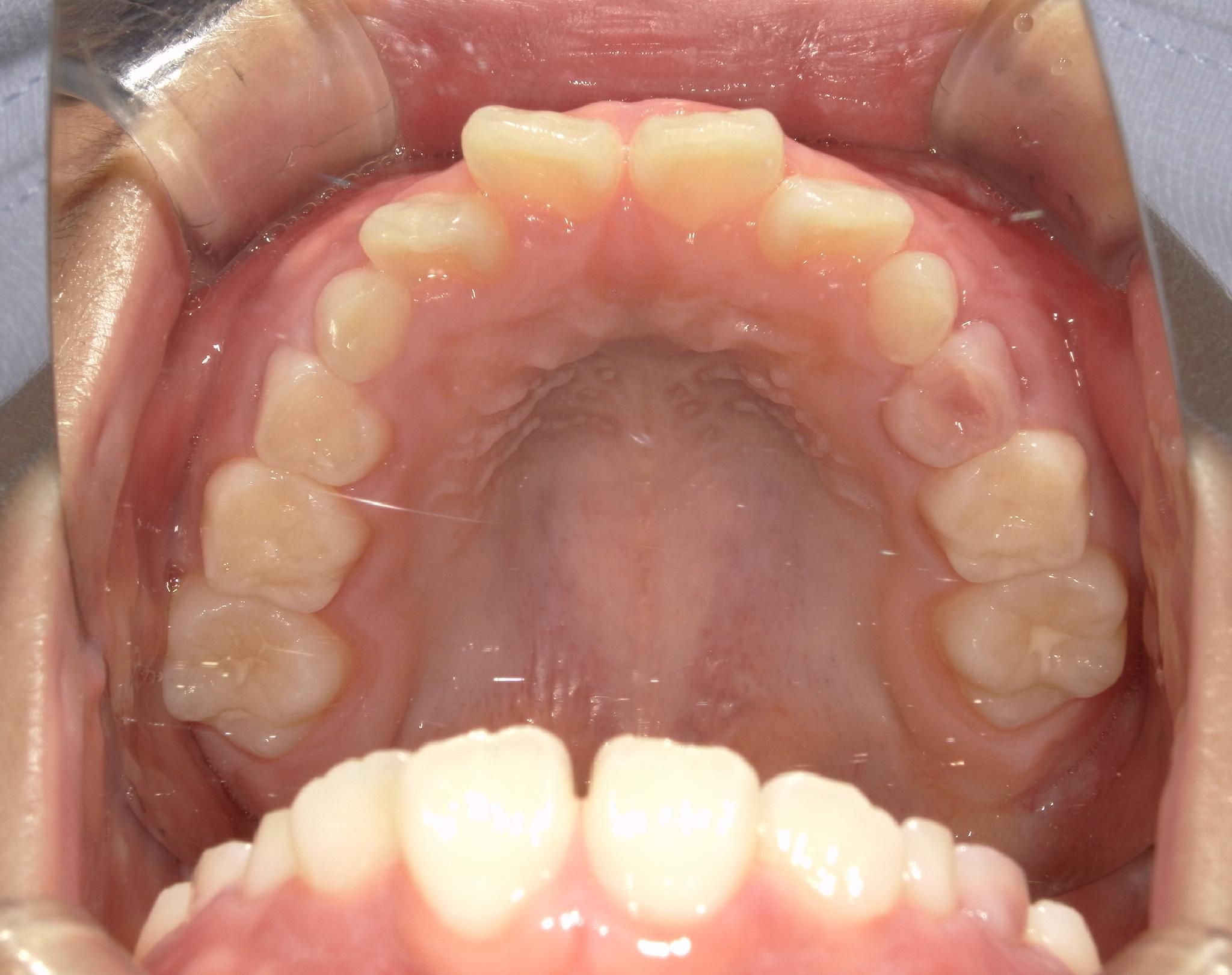
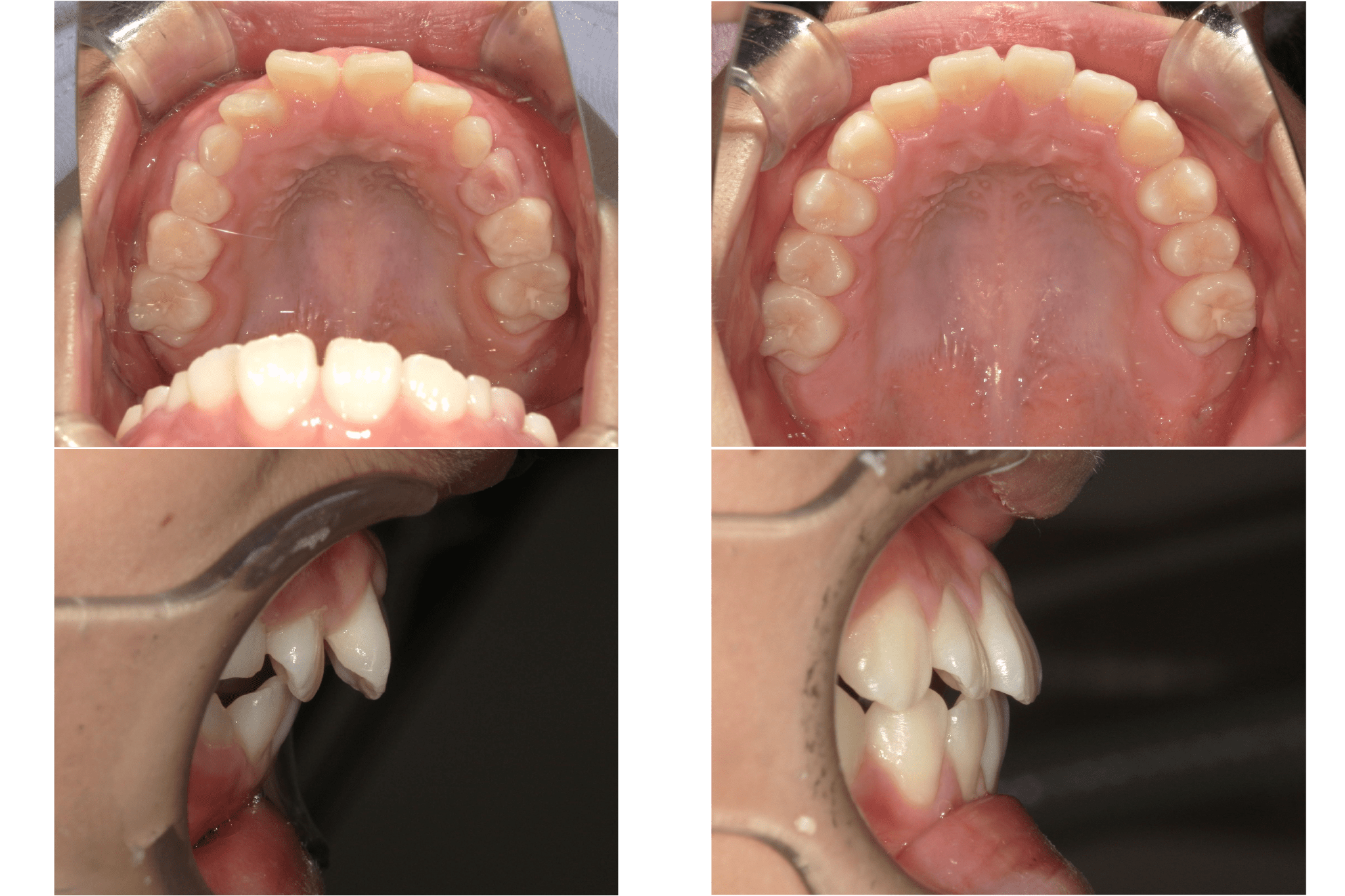
症例紹介
名古屋市名東区の歯医者「高針台デンタルオフィス」では、歯列不正の原因を取り除くことを目的とした「オルトこども矯正」を行っています。
こちらでは当院が行っている「オルトこども矯正」の症例をご紹介します。治療内容や来院回数、治療期間などを症例写真とともに掲載しておりますので、ぜひクリックしていただきご覧ください。
-
2026/03/06
-
2026/02/01
-
2026/01/01
-
2025/11/08
-
2025/10/07
-
2025/12/01
-
2025/09/03
-
2025/08/01
-
2025/07/01
-
2025/03/19
-
2025/01/02
-
2024/12/30
-
2024/11/15
-
2024/10/17
-
2023/06/07
